퇴행성 관절염 완치하는 최고의 비법
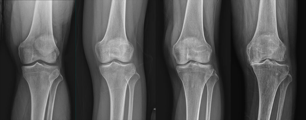
퇴행성 관절염은 나이가 들면서 자연스럽게 발생하는 관절의 마모로 인해 많은 사람들이 고통을 겪고 있는 질환입니다. 통증과 불편함 때문에 일상 생활에 큰 지장을 주기도 합니다.

그러나 이 병을 완화하고 관절의 기능을 회복하는 여러 가지 방법이 있습니다. 이번 글에서는 퇴행성 관절염을 완화하고, 심지어 완치에 가까운 상태로 이끌 수 있는 다양한 비법을 소개하겠습니다.
관절 보호와 운동
관절염을 관리하는 데 있어서 가장 중요한 것은 관절을 보호하는 것입니다. 무리한 활동을 피하고, 적절한 운동을 통해 관절의 유연성과 강도를 유지하는 것이 중요합니다. 특히, 수영이나 요가 같은 저충격 운동이 효과적입니다.
수영은 물 속에서 몸의 무게를 줄여 관절에 가해지는 부담을 최소화하며, 요가는 관절의 유연성을 높여주어 통증을 완화시킬 수 있습니다.
올바른 영양 섭취
영양 섭취 또한 퇴행성 관절염 관리에 중요한 역할을 합니다. 오메가-3 지방산이 풍부한 생선, 항염증 작용을 하는 과일과 채소, 그리고 뼈 건강에 좋은 칼슘과 비타민 D가 풍부한 식품을 섭취하는 것이 좋습니다.
특히, 강황과 생강은 항염증 효과가 있어 식단에 포함하면 좋습니다. 이러한 영양소는 관절 건강을 촉진하고, 염증을 줄여주는 역할을 합니다.
체중 관리
체중 관리는 관절염 환자에게 매우 중요합니다. 과체중은 관절에 가해지는 부담을 증가시켜 통증을 악화시킬 수 있습니다. 건강한 체중을 유지하기 위해 규칙적인 운동과 균형 잡힌 식단을 유지하는 것이 필요합니다.



체중을 줄이면 무릎과 고관절 등 주요 관절에 가해지는 압력을 줄일 수 있어 통증이 완화됩니다.
물리치료와 전문 치료
물리치료는 퇴행성 관절염을 완화하는 데 매우 효과적입니다. 전문 물리치료사와 상담하여 개인 맞춤형 치료 계획을 세우는 것이 중요합니다. 물리치료는 통증을 줄이고, 관절의 기능을 개선하며, 근육을 강화하는 데 도움이 됩니다.
또한, 침술이나 척추 교정 같은 대체 요법도 시도해 볼 수 있습니다.



약물 치료와 수술
심한 경우에는 약물 치료나 수술이 필요할 수 있습니다. 비스테로이드 항염증제(NSAIDs)는 통증과 염증을 줄이는 데 효과적이며, 경우에 따라 스테로이드 주사를 고려할 수 있습니다. 마지막으로, 관절이 심하게 손상된 경우 관절 치환술 같은 수술적 방법이 필요할 수 있습니다. 이러한 방법은 의사와 상담하여 결정하는 것이 중요합니다.
긍정적인 마음가짐과 생활 습관 변화
마지막으로, 긍정적인 마음가짐과 생활 습관의 변화가 중요합니다. 스트레스 관리는 관절염 관리에 큰 도움이 되며, 명상이나 심호흡 운동이 이를 돕습니다. 또한, 금연과 절주는 관절 건강에 긍정적인 영향을 미칩니다.
건강한 생활 습관을 유지하는 것은 장기적으로 관절염 관리에 큰 도움이 됩니다.
글을 마치며, 퇴행성 관절염은 완치가 어려운 질환이지만, 적절한 관리와 생활 습관 변화로 통증을 줄이고, 관절의 기능을 회복할 수 있습니다.



올바른 운동과 영양 섭취, 체중 관리, 전문 치료를 통해 관절 건강을 유지하세요.
이상 퇴행성 관절염 완치하는 최고의 비법 에 대해서 알아보았습니다.
Q&A
Q1: 퇴행성 관절염의 초기 증상은 무엇인가요?
초기에는 관절 통증과 뻣뻣함이 주로 나타나며, 관절을 사용할 때 더 심해집니다. 특히 아침에 일어나거나 장시간 앉아 있다가 움직일 때 증상이 심합니다.
Q2: 퇴행성 관절염은 유전적인가요?
유전적인 요인이 관절염 발생에 영향을 줄 수 있지만, 생활 습관과 외부 요인도 큰 영향을 미칩니다.






Q3: 퇴행성 관절염에 좋은 운동은 무엇인가요?
수영, 요가, 걷기 등이 좋습니다. 관절에 무리를 주지 않는 저충격 운동이 추천됩니다.
Q4: 퇴행성 관절염 환자가 피해야 할 음식은 무엇인가요?
고지방, 고당분 음식과 가공식품은 피하는 것이 좋습니다. 이러한 음식은 염증을 악화시킬 수 있습니다.
Q5: 약물 없이 퇴행성 관절염을 관리할 수 있나요?
가능합니다. 올바른 운동, 영양 섭취, 체중 관리, 물리치료 등을 통해 약물 없이도 증상을 완화할 수 있습니다.






관련 키워드
퇴행성 관절염, 관절 보호, 저충격 운동, 영양 섭취, 체중 관리, 물리치료, 약물 치료, 생활 습관, 스트레스 관리, 관절 건강, 관절 통증, 항염증 식품, 명상, 금연, 절주
요약
이 글은 퇴행성 관절염을 완화하고 잠재적으로 완치할 수 있는 최고의 방법에 대해 자세히 다룹니다. 주요 전략으로는 관절 보호, 수영과 요가 같은 저충격 운동, 항염증 식품이 풍부한 건강한 식단 유지, 체중 관리, 전문 치료 및 약물 치료를 받는 것을 포함합니다. 또한, 긍정적인 마음가짐과 건강한 생활 습관의 중요성도 강조됩니다.


